Video-charla del Dr. García de Sola sobre la Hidrocefalia arreabsortiva
Hidrocefalia arreabsortiva en el adulto
La hidrocefalia arreabsortiva del adulto, también llamada hidrocefalia crónica o de presión normal, es una patología neurológica que surge por alteraciones en la dinámica del líquido cefalorraquídeo (LCR). Para comprenderla, primero se explica la fisiología del LCR: este líquido transparente se produce en los plexos coroideos de los ventrículos cerebrales, circula por el sistema ventricular —incluido el acueducto de Silvio y el cuarto ventrículo— y rodea al sistema nervioso central en el espacio subaracnoideo. Finalmente, se reabsorbe a través de los corpúsculos de Pacchioni hacia los senos venosos. Este ciclo regula la presión intracraneal, protege el tejido nervioso y participa en funciones de limpieza y comunicación bioquímica.
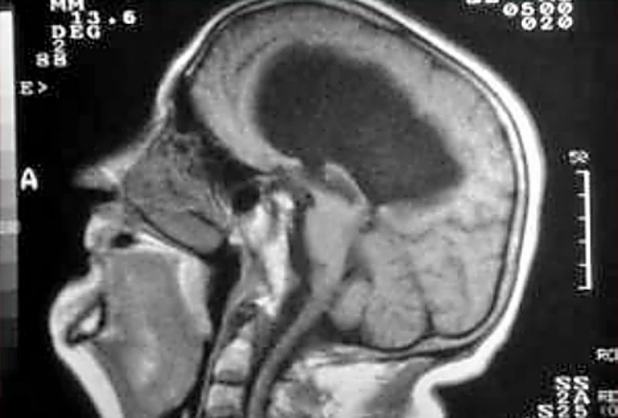
La hidrocefalia se define como el aumento patológico del tamaño ventricular. Puede ser obstructiva (no comunicante), por bloqueo en la circulación, o arreabsortiva (comunicante), cuando existe fallo en la reabsorción. También se clasifica según la presión intracraneal (alta, normal o baja) y según el momento de aparición (congénita o adquirida).
El cuadro típico en adultos fue descrito por Hakim y Adams en los años 60: dilatación ventricular con presión normal. Sus causas más habituales son secuelas de meningitis, hemorragias o procesos degenerativos ligados a la edad. Clínicamente se manifiesta con la tríada clásica: alteraciones de la marcha (inestabilidad y pasos cortos), deterioro cognitivo progresivo e incontinencia urinaria.
El diagnóstico combina resonancia magnética avanzada, que permite visualizar la dilatación ventricular y signos indirectos de disfunción, con pruebas de infusión lumbar para valorar la capacidad de reabsorción del LCR.
El tratamiento más efectivo es la colocación de una válvula de derivación ventrículo-peritoneal programable, que regula el drenaje de LCR y mantiene la presión intracraneal en valores adecuados. Aunque los ventrículos no se reducen completamente, la mejoría clínica es significativa, sobre todo en la marcha y el control de esfínteres.
El pronóstico es generalmente favorable, aunque en pacientes de edad avanzada puede coexistir con atrofia cerebral, limitando la recuperación cognitiva plena.
Rafael García de Sola
Director de la Cátedra UAM “Innovación en Neurocirugía”
Jefe del Servicio de Neurocirugía
Hospital Ntra. Sra. del Rosario
Madrid
Ver presentación sobre la hidrocefalia arreabsortiva en adultos
INTRODUCCIÓN
La hidrocefalia arreabsortiva del adulto, un tema que cada vez se está viendo con mayor frecuencia en la práctica médica. Aunque puede ser complejo de entender tanto para el público general como para profesionales médicos, esperamos que después de esta explicación resulte más claro.
FISIOLOGÍA DEL LÍQUIDO CEFALORAQUÍDEO

Lo primero es hablar del líquido cefalorraquídeo y su fisiología. El líquido cefalorraquídeo se produce dentro de los plexos coroideos, dentro del cerebro en los ventrículos, que son cavidades dentro de los hemisferios cerebrales. De ahí pasa a un ventrículo intermedio llamado tercer ventrículo.
Luego pasa por un estrecho conducto que es el acueducto de Silvio, ubicado dentro del tronco cerebral. El líquido cefalorraquídeo acaba en el cuarto ventrículo y de ahí pasa a lo que los antiguos llamaban cisterna magna, porque era la zona del espacio subaracnoideo de mayor tamaño. Desde allí, el líquido rodea el cerebelo y la convexidad de los hemisferios cerebrales, así como toda la zona medular.
Este líquido, que es agua absolutamente transparente como agua de roca con una serie de componentes, está rodeando y envolviendo toda la estructura del sistema nervioso central.
Producción y Reabsorción

Esta producción, circulación y posterior reabsorción del líquido cefalorraquídeo ocurre a nivel de los senos venosos que recogen toda la sangre, mediante unas estructuras llamadas corpúsculos de Pacchioni, que son estructuras valvulares.
Es interesante saber que la producción de líquido cefalorraquídeo ocurre a pesar de la presión que puede haber dentro del cráneo. En una hidrocefalia con obstrucción absoluta, la producción puede aumentar la presión intracraneal hasta el punto de que el paciente pueda entrar en coma o incluso fallecer por la obstrucción de la circulación.
Sin embargo, la reabsorción en los senos venosos a nivel de los corpúsculos de Pacchioni va a ser presión-dependiente. Es decir, si aumenta por cualquier causa la presión dentro del cráneo, se va a producir un mecanismo muy rápido de compensación que va facilitar la salida líquido cefalorraquídeo de la cavidad craneal y disminuyendo la presión intracraneal.
Funciones del Líquido Cefalorraquídeo
Aparte de la circulación, el líquido cefalorraquídeo tiene otras misiones importantes:
Limpieza: y
Regulación del entorno extracelular cerebral.
Transferencia endocrina: No solamente el sistema nervioso se comunica dentro de sus diferentes estructuras por vía nerviosa, sino también por esta vía bioquímica, incluyendo sustancias como las endorfinas.
Función mecánica
Como ya hemos comentado, el líquido rodea el cerebro y la médula. Su función mecánica es fundamental:
Protección y flotabilidad: 1.500 gramos de cerebro suspendido en líquido cefalorraquídeo tienen una masa virtual de sólo 50 gramos. El tejido nervioso es muy lábil desde el punto de vista físico y tiene que estar muy bien protegido.
Reducción de la aceleración: Al estar cubierto por el cráneo, que es la estructura ósea más potente, este sistema equilibra muy bien y reduce las aceleraciones y movimientos del cerebro, protegiéndolo.
Presión homogénea: La presión dentro del cráneo es absolutamente homogénea, lo que es fundamental para el correcto funcionamiento cerebral.
CONCEPTO DE HIDROCEFALIA
Llegamos al concepto de hidrocefalia, que viene del griego: «hidro» (agua) y «cephalos» (cabeza), es decir, aumento de agua dentro de la cabeza, fundamentalmente aumento del tamaño ventricular.
Pero hay varios conceptos. Uno sería solamente ese aumento, que podría llevar a hablar de hidrocefalia en una entidad que es cuando se pierde sustancia cerebral por atrofia cerebral debido a la edad o a una serie de enfermedades. El cráneo no va a ceder y lo que va a hacer es que esa cavidad craneal va a tener que llenarse de agua, de líquido cefalorraquídeo, pero entonces es un llenado pasivo. Se llama hidrocefalia ex vacuo, que no es de lo que estamos hablando.
Por eso es mejor la definición de Milhorat, en que habla de que la hidrocefalia es hidrocefalia activa cuando hay un desajuste entre la formación y la reabsorción del líquido cefalorraquídeo, lo que va a producir ese aumento del tamaño ventricular.
Patogenia: Tipos de Hidrocefalia
Si pasamos a explicar la patogenia, es decir, por qué se puede producir la hidrocefalia, una de las primeras causas teóricas sería que se excediera la formación de líquido cefalorraquídeo. Hay tumores de plexos coroideos, pero no está demostrado científicamente que realmente se llegue a producir tanto líquido como para producir hidrocefalia.
Realmente las hidrocefalias van a ser de tres tipos:
1. Hipersecretoras: Por exceso de secreción de LCR (poco frecuentes).
2. Obstructivas: Porque hay una obstrucción en ese paso de líquido cefalorraquídeo a través de los ventrículos.
3. Arreabsortivas: Porque hay una dificultad de reabsorción en los senos venosos.
Clasificación Anatómica
Desde el punto de vista anatómico, también la clasificación de la hidrocefalia viene de un neurocirujano de los años 40, Dandy, que diseñó hacer pruebas que era la neumoencefalografía. Entonces no había resonancia ni TAC, así que introducía aire o contraste en los ventrículos para ver las patologías.
Dentro de ese contexto, él definió las hidrocefalias de dos tipos:
No comunicante: Cuando ponía algún tipo de contraste aquí, no se podía recoger abajo en la zona a través de una punción lumbar. No comunicaban los ventrículos con el eje raquídeo.
Comunicante: Cuando curiosamente sí aparecía el contraste abajo.
Clasificación según Presión Intracraneal
Otra clasificación es desde el punto de vista de la presión. Ya hemos dicho que algunas veces la presión intracraneal puede aumentar tanto que las personas pueden entrar en coma. La presión intracraneal puede ser:
- ALTA
- MEDIA
- BAJA
Es otra forma de clasificar las hidrocefalias.
Clasificación Clínica

Desde el punto de vista clínico hay hidrocefalias que aparecen, son congénitas o aparecen a lo largo de la vida.
Si ponemos todo este tipo de clasificación juntos, podemos ver que si nos vamos a las hidrocefalias congénitas, como el caso de una estenosis del acueducto, las hidrocefalias congénitas suelen ser:
- Obstructivas
- No comunicantes
- La presión intracraneal es alta
Hidrocefalias Congénitas

Las hidrocefalias congénitas tienen características comunes:
- Son obstructivas
- Son no comunicantes
- Tienen presión intracraneal alta
Un ejemplo típico es la estenosis del acueducto de Silvio, donde la obstrucción impide el paso normal del líquido cefalorraquídeo.
Hidrocefalias Adquiridas – Tipo I

En las adquiridas podemos tener a lo largo de la vida dos fenómenos o dos tipos diferentes de hidrocefalia.
Uno que sean obstructivas, por ejemplo porque hay un tumor que obstruye la salida, también en el acueducto de Silvio. Son:
- Obstructivas
- No comunicantes al estar obstruidas
- Con una presión intracraneal alta
Hidrocefalias Adquiridas – Tipo II

O lo que vamos a hablar fundamentalmente ahora, pueden ser con dificultad de reabsorción a nivel de los senos venosos. Por consiguiente son:
- Arreabsortivas
- Comunicantes
- La presión intracraneal es curioso, pero es normal o incluso baja
Llegamos por consiguiente al tema central de lo que vamos a tratar: la hidrocefalia comunicante del adulto.
HIDROCEFALIA COMUNICANTE ARREABSORTIVA DEL ADULTO (HICA)
Este es el tema central de nuestra presentación: la hidrocefalia comunicante arreabsortiva del adulto, también conocida como HICA.
Esta condición se caracteriza por ser una hidrocefalia que aparece en la edad adulta, con dificultades en la reabsorción del líquido cefalorraquídeo pero manteniendo la comunicación entre los ventrículos y el espacio subaracnoideo.
Historia: Hakim y Adams en los Años 60
Esto fue descrito en los años 60 por Hakim y Adams y le dieron el nombre de hidrocefalia de presión normal del adulto porque veían que había aumento del tamaño ventricular, pero hasta ese momento se concebía que el aumento de tamaño se correspondía con una presión intracraneal alta. Curiosamente, al medirla, la presión era normal.
Ellos describieron que era porque se debía a un déficit de reabsorción de líquido cefalorraquídeo. También se puede llamar hidrocefalia arreabsortiva o comunicante.
Etiopatogenia: Dificultad de Reabsorción de LCR
Las causas principales de la dificultad de reabsorción del líquido cefalorraquídeo son fundamentalmente:
Meningitis: Una meningitis puede acabar cerrando o bloqueando estos corpúsculos de Pacchioni.
Hemorragia: Una hemorragia subaracnoidea, y después mientras se van resolviendo los productos sanguíneos, pudieran bloquear entre comillas esa salida.
Desconocido: De causa desconocida, que probablemente por la edad esos mecanismos de presión perfectos que hay van cediendo y ese sistema valvular no funciona tan adecuadamente.
Mecanismo fisiopatológico

El hecho es que en cuanto a lo que va ocurriendo:
1. Aumenta la presión intracraneal: Al principio, no se puede reabsorber y se van acumulando muy lentísimamente algo más de líquido en los ventrículos.
2. Aumenta la tensión de la pared ventricular: Como los globos, eso hace que aumente la tensión en las paredes ventriculares.
3. Incremento de la reabsorción transependimaria del LCR: El líquido cefalorraquídeo no se puede reabsorber por la vía normal y empieza a pasar a través del epéndima, que es una capa celular que recubre la pared interna de los ventrículos, y acaba entrando en el espacio extracelular cerebral. Ese espacio extracelular hace que las neuronas se vean más invadidas de agua y van a trabajar peor. Pero sin embargo es una salida para reabsorber el líquido cefalorraquídeo.
4. «Compensan» la hidrocefalia: Al final se acaba compensando la hidrocefalia en cuanto a no ser de una presión alta, sino que es una presión normal o incluso baja. Pero la tensión en las paredes ventriculares, especialmente en los lóbulos frontales, va a tener una repercusión clínica importante según la ley de Laplace: la tensión está directamente proporcional al radio, así que aunque haya una presión más baja, si hay un radio más alto, la tensión va a ser mayor.
CLÍNICA
Manifestaciones Clínicas
De manera que el paciente va a empezar a tener, en este orden característico:
ALTERACIONES DE LA MARCHA: Primero aparecen alteraciones de la marcha. Parece incluso una marcha parkinsoniana, aumenta la base de sustentación, el paciente está inestable.
DETERIORO COGNITIVO: Poco a poco va habiendo un deterioro cognitivo de pérdida de memoria y de comportamiento.
INCONTINENCIA DE ESFÍNTERES: Y al final aparece la incontinencia de esfínteres.
Esta tríada clínica es característica de la hidrocefalia de presión normal.
DIAGNÓSTICO
El diagnóstico de este cuadro es:
ANTECEDENTES: Primero por esos antecedentes cuando los hay, que hemos hablado de la meningitis o de las hemorragias.
RESONANCIA MAGNÉTICA. ESTUDIO DE CIRCULACIÓN: Es relativamente fácil con la resonancia magnética hoy día, sobre todo porque hay resonancias de muy alto standing que acaban estudiando la circulación de líquido cefalorraquídeo a través del acueducto de Silvio.
DIAGNÓSTICO DIFERENCIAL: Hay que hacer un diagnóstico diferencial entre otros problemas como pueden ser en las personas de edad:
- Hematoma subdural (HSD)
- Tumores frontales
- Deterioro cognitivo relacionado con la enfermedad de Alzheimer
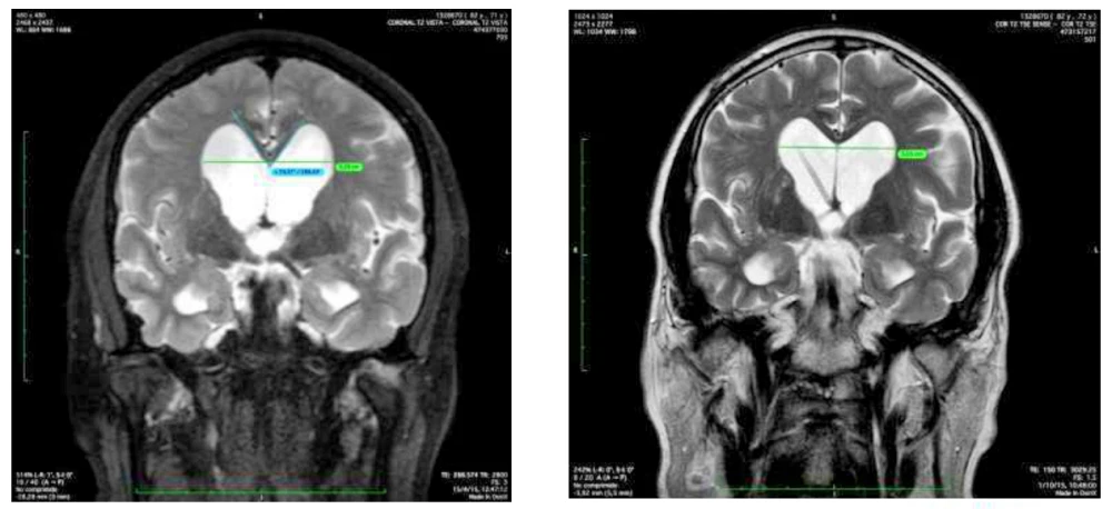
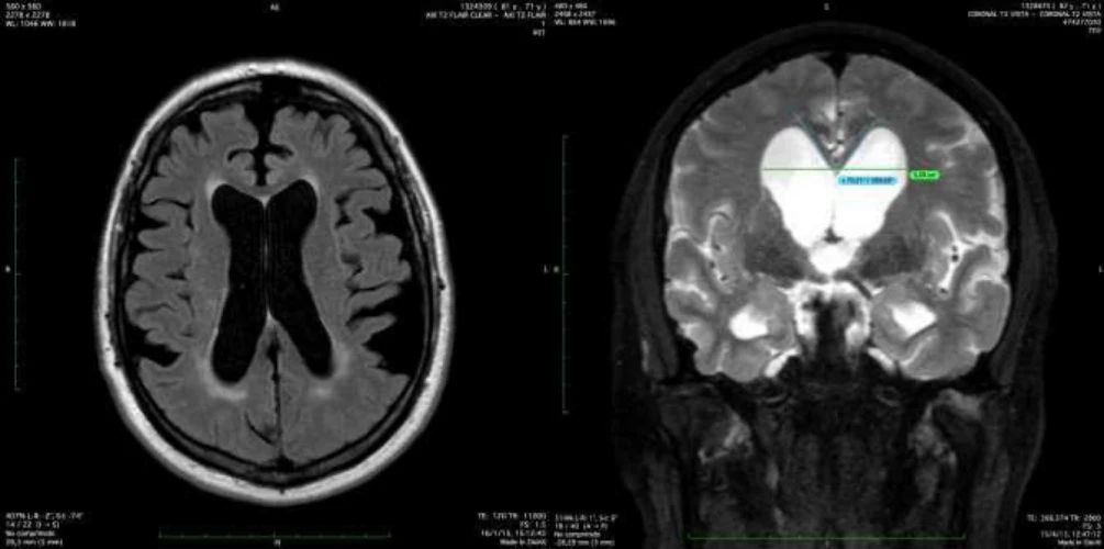
Hallazgos en Resonancia Magnética – Índice de Evans y Ángulo Calloso
La resonancia es realmente una herramienta muy precisa para hacer el diagnóstico:
Edema transependimario: Primero porque se ve el edema transependimario, que se ve como esta zona blanca alrededor de los ventrículos.
Ángulo calloso: Después porque hay unos ángulos que se pueden medir. Este ángulo que es agudo, menor de 90º, es porque el globo ventricular, como esta estructura del cuerpo calloso es muy fija, lo que va a hacer el aumento de presión de los ventrículos es cerrarlo sobre esa estructura.
Índice de Evans: Y después también hay un índice que es la relación entre toda la corteza cerebral de esta longitud y la longitud del ventrículo.
Aparte de eso se puede acabar haciendo estudios muy sofisticados de cómo circula el líquido cefalorraquídeo por el acueducto, de manera que se puede acabar teniendo una clara idea de que estamos ante una hidrocefalia arreabsortiva.
Test de Infusión
De todas formas es un problema que hay una parte de función en ese estudio de resonancia. Nosotros también podemos estudiar la función en cuanto a la capacidad de reabsorción de esa persona.
Se hace una punción lumbar, pero midiendo la presión mediante un sistema cerrado, no abierto, y medimos la presión. Hacemos una maniobra que es infundir de forma continua una cantidad de suero salino.
El individuo normal, normalmente se está produciendo 0,3 centímetros cúbicos por minuto. Pero cualquier persona es capaz de poder reabsorber, porque aumente su presión como hemos visto antes, hasta 10 veces más, hasta 3 centímetros cúbicos por minuto.
Interpretación del Test de Infusión

Si en ese test de infusión ponemos menos de esa cantidad, en el fondo estamos forzando. Si esa persona tiene una dificultad en la reabsorción de líquido, al hacer el test vamos a ver que la presión intracraneal puede aumentar.
Los tests suelen durar unos 10 minutos y después se para el test y vemos si se reabsorbe, si baja la presión. Lo normal es que aumente poco.
Pero puede llegar incluso a haber varios tipos de curvas que pueden ser tan patológicas que alcanzamos un nivel de presión intracraneal muy alto. Está controlada, está el enfermo en el quirófano con anestesista y no hay ningún tipo de riesgo absolutamente, pero vemos que va aumentando mucho. Sencillamente paramos el test, esperamos un poco y vemos si baja.
Y efectivamente, no solamente hay que pararlo, sino que además al dejarlo, el líquido no se acaba de absorber y tarda mucho en llegar a su situación normal. Es decir, que con eso nosotros tenemos dos ventajas: una, podemos ver cuál es la presión de base de esa persona y ver si de verdad tiene dificultades serias o muy serias en la reabsorción.
Tratamiento: Derivación Ventrículo-Peritoneal

El tratamiento es simple, entre comillas. Ha sido muy sofisticada la evolución tecnológica de las válvulas de la derivación ventrículo-peritoneal.
Lo que hace es que se coloca un sistema con un catéter en los ventrículos y va subcutáneo al peritoneo, pero en medio tiene un sistema valvular que permite salir líquido solamente a una determinada presión.
Hoy día la sofisticación ha llegado a un nivel muy alto, de manera que incluso podemos cambiar esa presión a la cual queremos que se vaya drenando el líquido cefalorraquídeo de forma constante. Así mantenemos lo que es la cavidad craneal, el cerebro, en una presión estable y beneficiosa y no excesiva, por ejemplo, que a lo mejor hace que se descuelgue el cerebro del cráneo y pudiera haber hemorragia.
Al final, estos ventrículos no van a disminuir de una forma grande, como puede ser en las personas muy jóvenes que tienen un cerebro muy elástico y con hidrocefalias obstructivas por un tumor o por una enfermedad congénita. Pero realmente se va a mantener un equilibrio. Los ventrículos mantienen un tamaño relativamente grande, pero lo que es importante es que todo el cerebro está a una presión absolutamente normal y el paciente recupera la clínica de forma muy buena.
Complicaciones
Las complicaciones son raras:
INFECCIÓN: La infección es rarísima, eso es un problema quirúrgico, pero realmente hay que tener mucho cuidado, pero es raro hoy día.
HEMATOMA SUBDURAL: Con esas válvulas que se puede variar la presión, los hematomas subdurales después de la cirugía son muy raros.
ATROFIA CEREBRAL CONCOMITANTE: Lo único que sí hay que tener en cuenta es hacer el test de infusión y estudiar bien los pacientes. Algunas veces estamos en personas alrededor de los 75 años, por ejemplo, o cerca de los 80. Hay un momento en que ya la edad puede limitar o aumenta mucho el riesgo de poner la válvula. Eso ya es un problema clínico que el neurocirujano lo tendrá que valorar.
Pero es verdad que por la edad hay un fenómeno de atrofia cerebral concomitante, con lo cual parte de la clínica pudiera ser por eso, por atrofia cerebral y no por la hidrocefalia. Se unen las dos cosas y hay que saber en cuanto al pronóstico para darle al paciente, hay que a lo mejor decirle que se pueden conseguir un nivel alto de recuperación, pero a lo mejor no es el ideal que uno está soñando.
Pronóstico
En general, el pronóstico de la hidrocefalia es bueno o realmente muy bueno:
ALTERACIONES DE LA MARCHA: La alteración de la marcha cede con bastante rapidez.
MEJORÍA COGNITIVA: Además hay una mejoría cognitiva significativa.
MEJORÍA DE ESFÍNTERES: Y una mejoría en el control de esfínteres.
Estos son los tres pilares de la recuperación clínica tras el tratamiento quirúrgico de la hidrocefalia de presión normal del adulto.
CONCLUSIÓN
En resumen: La hidrocefalia arreabsortiva del adulto es una condición tratable que se caracteriza por la tríada clínica de alteraciones de la marcha, deterioro cognitivo e incontinencia de esfínteres. A diferencia de otras hidrocefalias, presenta presión intracraneal normal o baja, lo que la hace particularmente difícil de diagnosticar. El diagnóstico preciso mediante resonancia magnética y test de infusión es fundamental para identificar a los pacientes que se beneficiarán del tratamiento quirúrgico. La derivación ventrículo-peritoneal con válvula programable ofrece excelentes resultados, con mejoría significativa de los síntomas en la mayoría de los casos. El reconocimiento temprano y el tratamiento adecuado pueden mejorar sustancialmente la calidad de vida de estos pacientes.










