Video-charla del Dr. García de Sola sobre la Espondilodiscitis y su tratamiento Neuroquirúrgico
Espondilodiscitis: tratamiento neuroquirúrgico
La espondilodiscitis es una infección de la columna vertebral que afecta al disco intervertebral y a los cuerpos vertebrales adyacentes. Aunque no es una patología frecuente, presentándose entre 4 y 24 casos por cada 100.000 habitantes al año, se trata de una enfermedad compleja que requiere un abordaje multidisciplinario. La infección se produce principalmente por vía hematógena, cuando bacterias como el estafilococo o el E. coli llegan al disco a través de la sangre, o por inoculación directa tras cirugías o procedimientos invasivos. Los pacientes más vulnerables son aquellos de edad avanzada, con patologías previas, estados de inmunodeficiencia, diabetes o en tratamiento con corticoides. La enfermedad se manifiesta de forma silente durante semanas o meses, presentando dolor nocturno intenso, rigidez en la zona afectada y fiebre en menos del 50% de los casos. El diagnóstico se establece mediante la combinación de estudios analíticos con PCR elevada, hemocultivos para identificar el germen y resonancia magnética, que muestra una sensibilidad superior al 90%. El tratamiento incluye reposo funcional, antibioticoterapia prolongada de 2 a 3 meses para infecciones piógenas y hasta un año para tuberculosis, y cirugía en casos de déficit neurológico progresivo, inestabilidad vertebral o falta de respuesta al tratamiento médico. La cirugía busca drenar el tejido inflamatorio, descomprimir las estructuras nerviosas y estabilizar la columna. Con un tratamiento adecuado, la tasa de curación supera el 90%, aunque la mortalidad puede alcanzar el 10% en infecciones espontáneas y existe un riesgo de recurrencia superior al 20%, lo que hace imprescindible un seguimiento estricto de los pacientes.
Rafael García de Sola
Director de la Cátedra UAM «Innovación en Neurocirugía»
Jefe del Servicio de Neurocirugía
Hospital Ntra. Sra. del Rosario
Madrid
¿Qué es la espondilodiscitis?
La espondilodiscitis es una infección de la columna vertebral que afecta específicamente al disco intervertebral. El término deriva de «espondilo», que significa columna vertebral, y «discitis», que indica inflamación del disco. Esta infección se inicia a través de la vascularización de las vértebras en el espacio discal, pudiendo extenderse posteriormente a los cuerpos vertebrales adyacentes.
Aunque no se trata de una entidad frecuente, cuando aparece representa una patología compleja que requiere un enfoque terapéutico exhaustivo y un seguimiento cuidadoso. El conocimiento de su evolución natural y las opciones de tratamiento disponibles resulta fundamental tanto para los profesionales sanitarios como para los pacientes y sus familias.
Historia de la enfermedad
El ejemplo histórico más conocido de espondilodiscitis es la enfermedad de Pott o tuberculosis vertebral, descrita por Percival Pott en 1779. Esta forma de infección vertebral ha sido conocida y tratada desde hace siglos. Posteriormente, en 1936, Kulowski describió la primera serie de 100 casos de espondilodiscitis piógena, aunque hay referencias previas desde 1879.
En tiempos más modernos, además de la tuberculosis, se han abordado las infecciones causadas por gérmenes convencionales o piógenos, ampliando el espectro de esta patología.
Incidencia y población afectada
En el momento actual, se registran entre 4 y 24 casos por cada 100.000 habitantes al año. Esta variabilidad en la incidencia depende de múltiples factores, incluyendo la región geográfica, el acceso a servicios de salud y las características de la población estudiada.
La espondilodiscitis se presenta fundamentalmente en determinados grupos de riesgo:
- Pacientes de edad avanzada: las personas mayores de 60 años constituyen el grupo más vulnerable, ya que presentan un sistema inmunológico menos eficiente para combatir las infecciones.
- Personas con patología previa: aquellos que padecen enfermedades crónicas que debilitan el sistema inmunitario tienen mayor susceptibilidad a desarrollar esta infección.
- Estados de inmunodeficiencia: los pacientes inmunodeprimidos, ya sea por enfermedades como el VIH o por tratamientos inmunosupresores, presentan un riesgo significativamente elevado.
- Pacientes diabéticos: la diabetes mellitus compromete la respuesta inmunitaria y la capacidad de cicatrización, favoreciendo el desarrollo de infecciones.
- Terapia con corticoides: el tratamiento prolongado con corticosteroides suprime la respuesta inmunológica, incrementando la vulnerabilidad a infecciones.
- Cirugía previa de columna: los procedimientos quirúrgicos sobre la columna vertebral pueden constituir una puerta de entrada para los gérmenes.
- Tratamientos endovenosos: el uso de catéteres venosos centrales o periféricos prolongados representa una vía potencial de diseminación bacteriana.
Causas de la espondilodiscitis
Agentes infecciosos bacterianos
Las bacterias constituyen la causa más frecuente de espondilodiscitis. Los principales microorganismos implicados son:
Estafilococo y E. coli
Estafilococo: Representa el germen más comúnmente identificado en las espondilodiscitis piógenas. El Staphylococcus aureus tiene especial predilección por el tejido óseo y puede llegar a la columna desde focos infecciosos cutáneos, respiratorios o de otras localizaciones.
Escherichia coli: Este germen es particularmente frecuente en personas de edad avanzada. Su origen suele estar en infecciones previas del tubo digestivo, del tracto urinario o de la vejiga. La bacteriemia producida por infecciones urinarias o abdominales puede conducir a la siembra del germen en la columna vertebral.
Brucelosis (fiebre de Malta)
Aunque ya no es habitual en España, la brucelosis puede aparecer en pacientes procedentes de regiones donde la enfermedad no ha sido erradicada o en personas con exposición ocupacional a ganado. Esta infección bacteriana puede afectar a la columna vertebral produciendo una espondilodiscitis de evolución más insidiosa.


Tuberculosis vertebral
La infección por Mycobacterium tuberculosis, históricamente conocida como enfermedad de Pott, representa una forma particular de espondilodiscitis. Aunque su incidencia ha disminuido significativamente en países desarrollados, continúa siendo relevante en determinadas poblaciones. La tuberculosis vertebral se caracteriza por ser una enfermedad de evolución insidiosa que puede progresar de forma silente durante meses o años, manifestándose únicamente cuando se produce un colapso vertebral que genera una lesión neurológica grave.


Infecciones parasitarias y fúngicas
Quiste hidatídico
Los parásitos también pueden causar espondilodiscitis, siendo el quiste hidatídico el ejemplo más relevante. Esta parasitosis, causada por el Echinococcus granulosus, puede afectar a la columna vertebral de forma primaria o como parte de una enfermedad diseminada. El diagnóstico suele ser complejo y el tratamiento requiere tanto medidas farmacológicas como quirúrgicas.




Infecciones fúngicas
Los hongos pueden causar espondilodiscitis en pacientes muy inmunodeprimidos, como aquellos con trasplantes de órganos, tratamientos oncológicos o SIDA avanzado. Estos casos son menos frecuentes pero de especial gravedad dada la dificultad en el diagnóstico y tratamiento.
Mecanismos de infección
Para comprender cómo llega el germen al disco intervertebral y a los cuerpos vertebrales, es necesario conocer las diferentes vías de infección que pueden conducir al desarrollo de una espondilodiscitis.
Vía hematógena
La vía hematógena constituye el mecanismo más frecuente de infección. En este caso, el germen circula por el torrente sanguíneo y alcanza la columna vertebral a través de diferentes situaciones:
- Émbolos sépticos: pequeños agregados de bacterias que viajan por la sangre pueden alojarse en los vasos sanguíneos que irrigan las vértebras.
- Catéteres infectados: los dispositivos intravenosos mantenidos durante períodos prolongados pueden convertirse en fuente de bacteriemia y posterior siembra vertebral.
- Infecciones del tracto urinario: las infecciones de vejiga, próstata o riñón pueden generar bacteriemia que conduzca a la infección vertebral.
Los gérmenes transportados por la sangre anidan preferentemente en los platillos vertebrales, estructuras que rodean superior e inferiormente al disco intervertebral. Estas zonas presentan una rica vascularización, lo que facilita la llegada y el asentamiento de los microorganismos. Desde los platillos, la infección se extiende al disco intervertebral y posteriormente puede invadir los cuerpos vertebrales adyacentes.
La distribución de la infección hematógena no es uniforme en toda la columna. La espondilodiscitis es más frecuente a nivel lumbar, seguida de la región torácica y, muy raramente, afecta a la columna cervical. Esta distribución se relaciona con los patrones de flujo sanguíneo y la distribución de los plexos venosos vertebrales.


Inoculación externa
La segunda vía de infección es la inoculación externa, donde el germen penetra directamente en la columna mediante instrumentación médica o procedimientos invasivos:
- Cirugía vertebral: cualquier intervención quirúrgica sobre la columna puede introducir gérmenes en el espacio discal o en las estructuras vertebrales, aunque con las medidas de asepsia actuales esta complicación es poco frecuente.
- Punciones lumbares: la extracción de líquido cefalorraquídeo mediante punción lumbar diagnóstica puede, excepcionalmente, introducir bacterias.
- Procedimientos epidurales: las infiltraciones epidurales realizadas en unidades del dolor para el tratamiento de lumbociática o dolor crónico representan una posible vía de inoculación. Esto incluye también tratamientos con ozono o técnicas mínimamente invasivas.

Transmisión por contigüidad
La transmisión por contigüidad, donde la infección se propaga desde estructuras cercanas a la columna, es realmente excepcional. Un ejemplo teórico sería la extensión de una infección del esófago hacia las vértebras torácicas, aunque en la práctica clínica estos casos son extraordinariamente raros.
Evolución y consecuencias de la infección
Durante la evolución de la espondilodiscitis, el germen destruye progresivamente el disco intervertebral e invade los cuerpos vertebrales. Este proceso destructivo puede provocar consecuencias graves para la estabilidad de la columna y la integridad neurológica.
- Colapso vertebral: la destrucción del disco y de los cuerpos vertebrales puede conducir a un colapso de las vértebras afectadas. Este fenómeno genera una cifosis, es decir, la columna se vence hacia adelante en la zona afectada, alterando significativamente la biomecánica vertebral.
- Inestabilidad vertebral: la pérdida de la integridad estructural de la columna genera una inestabilidad segmentaria que puede comprometer la protección de la médula espinal y las raíces nerviosas.
- Riesgo neurológico: el colapso vertebral, junto con la formación de abscesos epidurales y la inflamación local, pueden comprimir la médula espinal o las raíces nerviosas, generando lesiones neurológicas potencialmente graves e irreversibles si no se tratan a tiempo.

Clínica
La presentación clínica de la espondilodiscitis es variable y depende de múltiples factores, incluyendo el tipo de germen causante, el estado inmunitario del paciente y la localización de la infección.
Evolución temporal
El proceso infeccioso suele ser lento y silente durante un período prolongado, típicamente de 2 a 3 meses. Durante esta fase inicial, la sintomatología puede ser inespecífica y el diagnóstico difícil de establecer.
Síntomas principales
Dolor
El síntoma cardinal es el dolor en la zona afectada de la columna. Este dolor presenta características particulares:
- Predominio nocturno: el dolor se intensifica durante la noche, llegando a despertar al paciente.
- Carácter mecánico y a la vez inflamatorio: empeora con los movimientos pero también está presente en reposo.
- Localización precisa en la región vertebral afectada.
Rigidez
Los pacientes experimentan una marcada limitación en la movilidad de la columna, con rigidez y contractura muscular en la zona afectada.
Fiebre
Contrariamente a lo que podría esperarse en una infección, la fiebre aparece en menos del 50% de los pacientes. Su ausencia no descarta el diagnóstico de espondilodiscitis.

Afectación neurológica
La aparición de síntomas neurológicos indica una mayor gravedad del proceso y requiere una actuación urgente. Las manifestaciones neurológicas pueden incluir:
- Debilidad en las extremidades inferiores o superiores, según el nivel afectado.
- Alteraciones de la sensibilidad: hormigueos, adormecimiento o pérdida de sensibilidad.
- Trastornos esfinterianos: dificultad para controlar la micción o la defecación en casos graves.
- En casos extremos, paraplejía o tetraplejía según el nivel de la lesión.
La afectación neurológica es más frecuente en determinadas circunstancias:
- Presencia de abscesos epidurales que comprimen la médula.
- Edad avanzada del paciente.
- Pacientes inmunodeprimidos.
- Diabetes mellitus mal controlada.
- Tratamiento con corticoides.
Formas clínicas de presentación
Forma aguda
Se caracteriza por un inicio brusco con dolor intenso, malestar general y fiebre. Esta presentación es más típica de las infecciones postquirúrgicas o tras procedimientos invasivos.
Forma subaguda
La sintomatología es menos intensa que en la forma aguda, con una progresión más lenta. El dolor es moderado y la afectación del estado general menos evidente.
Forma crónica
Típica de la tuberculosis vertebral, se presenta de forma insidiosa con síntomas inespecíficos que pueden evolucionar durante meses antes de establecerse el diagnóstico. El paciente puede presentar únicamente dolor crónico y pérdida de peso, sin fiebre ni signos de alarma evidentes.

Diagnóstico de la espondilodiscitis
El diagnóstico de la espondilodiscitis requiere una aproximación integral que combine la valoración clínica, los estudios analíticos, las pruebas de imagen y la identificación microbiológica del germen causante.
Estudios analíticos
Marcadores inflamatorios
Los análisis de sangre permiten detectar la presencia de inflamación sistémica:
- Proteína C reactiva (PCR): se eleva de forma significativa en la espondilodiscitis. Sus valores sirven tanto para el diagnóstico como para el seguimiento de la evolución del paciente durante el tratamiento. Una PCR persistentemente elevada indica falta de control de la infección.
- Velocidad de sedimentación globular (VSG): también se encuentra elevada, aunque es un marcador menos específico que la PCR.
Otros hallazgos analíticos
- Leucocitosis: elevación del número de glóbulos blancos, aunque puede estar ausente, especialmente en formas crónicas.
- Anemia: frecuente en procesos infecciosos crónicos.
- Fosfatasa alcalina: puede encontrarse elevada por la afectación ósea.
Identificación microbiológica
Hemocultivos: constituyen una herramienta fundamental en el diagnóstico, ya que en más del 50% de los casos permiten identificar el germen causante. La obtención de hemocultivos positivos posibilita dirigir el tratamiento antibiótico de forma precisa según el antibiograma, mejorando significativamente el pronóstico.
Biopsia percutánea guiada por TAC: cuando los hemocultivos son negativos, se puede realizar una punción directa del disco o del cuerpo vertebral afectado bajo control tomográfico. Esta técnica obtiene material para cultivo y estudio anatomopatológico con un rendimiento diagnóstico del 56%.
Biopsia intraoperatoria: si los métodos anteriores no han permitido identificar el germen y existe indicación quirúrgica, se puede obtener tejido durante la intervención. Esta técnica presenta el mayor rendimiento diagnóstico, alcanzando el 78% de éxito en la identificación del microorganismo causante.
| Rendimiento | |
|---|---|
| Hemocultivo | 57% |
| Punción TAC | 56% |
| Biopsia intraoperatoria | 78% |
Pruebas de imagen
Radiografía simple
Las alteraciones en la radiografía convencional tardan entre 2 y 8 semanas en hacerse evidentes. Permite controlar la evolución de la cifosis y el colapso vertebral, pero tiene una sensibilidad limitada del 73% y una especificidad del 57%.
Tomografía computarizada (TAC)
El TAC es superior a la radiografía para visualizar el disco intervertebral, los cuerpos vertebrales y el grado de destrucción ósea. Es especialmente útil para guiar biopsias percutáneas y valorar los estadios de fusión vertebral. Sin embargo, su sensibilidad (67%) y especificidad (54%) son limitadas para el diagnóstico inicial.
Resonancia magnética (RM)
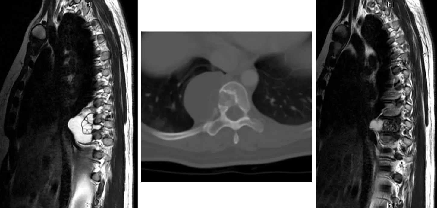
Constituye la prueba de imagen de elección para el diagnóstico y seguimiento de la espondilodiscitis. La RM presenta una sensibilidad y especificidad superior al 90%, permitiendo una visualización óptima del disco, los cuerpos vertebrales, los abscesos epidurales y la afectación de partes blandas paravertebrales.
La clasificación de la espondilodiscitis por resonancia magnética distingue diferentes estadios según los hallazgos radiológicos:
| Estadio | Hallazgos |
|---|---|
| Estadio I | Hematoma y radiolucidez localizada en los platillos de la vértebra |
| Estadio II | Edema vertebral y/o sospecha de acumulación de líquido dentro del cuerpo vertebral con mala demarcación de la lesión |
| Estadio III | Intensidad de señal irregularmente aumentada en la resonancia con confinamiento dentro del ligamento longitudinal posterior |
| Estadio IV | Acumulación evidente de líquido en el disco asociado a destrucción de los platillos y extensión a lesiones epidurales |
| Estadio V | Desaparición del disco con colapso vertebral y afectación del cuerpo vertebral y arco posterior así como de los ligamentos y músculos paravertebrales |
Gammagrafía ósea y PET
Estas técnicas de medicina nuclear pueden ser útiles en casos seleccionados, especialmente para detectar focos infecciosos múltiples o evaluar la respuesta al tratamiento. El Galio-67 y el Tecnecio-99 se utilizan en la gammagrafía ósea, mientras que el PET con 18-FDG aporta información sobre la actividad metabólica de la infección.
Control de la evolución
El seguimiento de los pacientes con espondilodiscitis se basa fundamentalmente en dos pilares:
- PCR y VSG seriadas: la normalización progresiva de estos marcadores indica una buena respuesta al tratamiento.
- Resonancia magnética de control: permite evaluar la resolución de la infección, la presencia de abscesos residuales y el grado de fusión vertebral.
- Gammagrafía o PET: en casos seleccionados, pueden aportar información adicional sobre la actividad infecciosa.
Valoración de la sensibilidad y especificidad diagnóstica
La comparación de las diferentes pruebas diagnósticas muestra claramente la superioridad de la resonancia magnética:
| Sensibilidad | Especificidad | |
|---|---|---|
| Rx | 73% | 57% |
| TAC | 67% | 54% |
| RM | > 90% | > 90% |
| PCR | 84% | 71% |
Clasificación de la gravedad
La clasificación de Homagk permite estratificar a los pacientes según la gravedad de su espondilodiscitis, teniendo en cuenta el dolor (valorado mediante escala EVA), los niveles de PCR y los hallazgos en la resonancia magnética. Esta clasificación distingue tres grados de gravedad:
| 0 | 1 | 2 | 4 | |
|---|---|---|---|---|
| PCR (mg/dl) | <10 | 11-50 | 51-150 | >150 |
| Dolor EVA | <3 | 3-5 | 6-8 | >8 |
| RM | Normal | Discitis | Espondilodiscitis | Espondilodiscitis con abscesos |
Gravedad según puntuación total:
- Leve: puntuación menor de 3
- Moderada: puntuación entre 3 y 5
- Grave: puntuación mayor de 6
Esta graduación resulta útil para establecer el pronóstico y decidir la intensidad del tratamiento requerido.
Tratamiento de la espondilodiscitis
Objetivos terapéuticos
El tratamiento de la espondilodiscitis persigue tres objetivos fundamentales:
- Erradicar la infección: eliminar completamente el germen del organismo mediante antibioticoterapia dirigida.
- Controlar el dolor: proporcionar alivio sintomático al paciente, teniendo en cuenta que el dolor puede persistir incluso tras la curación de la infección si existe inestabilidad residual.
- Mantener la estabilidad de la columna: la columna vertebral cumple funciones fundamentales de soporte y protección del sistema nervioso. Es imprescindible preservar o restaurar su estabilidad para garantizar la función neurológica y biomecánica adecuada.
Tratamiento conservador
Reposo funcional
El primer escalón terapéutico consiste en limitar la movilidad de la columna afectada:
- Reposo en cama: indicado en casos graves o con dolor intenso, especialmente durante las primeras fases del tratamiento.
- Ortesis o corsés: permiten inmovilizar la zona afectada mientras el paciente mantiene cierta movilidad. Estos dispositivos distribuyen las cargas y limitan los movimientos que podrían agravar la lesión.
Tratamiento antibiótico
Constituye el pilar fundamental del tratamiento de la espondilodiscitis. La estrategia antibiótica puede seguir diferentes aproximaciones:
Tratamiento empírico: cuando no se ha identificado el germen, se inicia un tratamiento de amplio espectro que cubra los microorganismos más frecuentes. Este tratamiento se basa en la sospecha clínica, los antecedentes del paciente y los patrones de resistencia locales.
Tratamiento dirigido: una vez identificado el germen mediante hemocultivos, biopsia o cultivos intraoperatorios, se ajusta el antibiótico según el antibiograma. Esta aproximación es más eficaz y permite utilizar fármacos específicos con menor riesgo de efectos adversos.
Duración del tratamiento antibiótico
- Infecciones piógenas: requieren de 2 a 3 meses de tratamiento antibiótico, inicialmente por vía intravenosa y posteriormente oral según la evolución clínica.
- Tuberculosis: el tratamiento antituberculoso debe mantenerse durante 9 a 12 meses, siguiendo las pautas establecidas para la tuberculosis osteoarticular.
El tratamiento antibiótico siempre se realiza en coordinación con los servicios de medicina interna y enfermedades infecciosas, que aportan su experiencia en el manejo de infecciones complejas y en el ajuste de las dosis según la función renal y hepática del paciente.
Tratamiento quirúrgico
Indicaciones de la cirugía
La intervención quirúrgica está indicada en las siguientes situaciones:
- Duda diagnóstica: cuando no se ha podido establecer el diagnóstico mediante otros métodos y es necesario obtener tejido para estudio microbiológico e histológico.
- Ausencia de mejoría o progresión del déficit neurológico: si el paciente no responde al tratamiento médico o presenta deterioro neurológico, la cirugía urgente está indicada para descomprimir las estructuras nerviosas.
- Falta de mejoría de los marcadores inflamatorios: si la PCR y la VSG no disminuyen a pesar del tratamiento antibiótico correcto, puede indicar la presencia de abscesos que requieren drenaje quirúrgico.
- Progresión de la deformidad vertebral: el aumento del colapso vertebral o de la cifosis indica inestabilidad progresiva que requiere estabilización quirúrgica.
Objetivos de la cirugía
- Diagnóstico: obtención de tejido para cultivo microbiológico y estudio anatomopatológico.
- Drenaje y extirpación del tejido inflamatorio: eliminar el material purulento, los abscesos y el tejido necrótico infectado.
- Descompresión: liberar la médula espinal y las raíces nerviosas de cualquier compresión causada por abscesos, fragmentos óseos o deformidad.
- Estabilización: restaurar la estabilidad de la columna mediante instrumentación con tornillos y barras, y en ocasiones con injertos óseos o cajas intersomáticas.
Técnicas quirúrgicas y resultados
Los estudios han demostrado que los abordajes dirigidos al foco infeccioso obtienen mejores resultados que las técnicas de descompresión simple:
- Laminectomías descompresivas sin fusión: resultados satisfactorios en 57-66% de los casos. Esta técnica, consistente en retirar las láminas vertebrales posteriores sin estabilizar, presenta resultados subóptimos.
- Desbridamiento y fusión posterior: acceso por la parte posterior de la columna con limpieza del foco y estabilización mediante tornillos pediculares. Resultados exitosos en el 97% de los casos.
- Abordaje y fusión anterior: acceso directo al foco infeccioso por delante, permitiendo una limpieza exhaustiva y colocación de injerto o caja intersomática. Resultados exitosos en 82-100% de los casos.
Estos datos confirman que el tratamiento quirúrgico debe ser agresivo en el sentido de abordar directamente el foco infeccioso y proporcionar estabilización adecuada, evitando técnicas de descompresión simple que han demostrado resultados inferiores.
Clasificación quirúrgica de Pola
Existe una clasificación sistemática que orienta sobre el tipo de tratamiento quirúrgico más adecuado según las características de cada caso. Esta clasificación considera la destrucción ósea, la inestabilidad segmentaria, la presencia de abscesos epidurales, la focalidad neurológica y la afectación paravertebral:
| Destrucción ósea | Inestabilidad segmentaria | Abscesos epidurales | Focalidad neurológica | Afectación paravertebral | Tratamiento | |
|---|---|---|---|---|---|---|
| Tipo A | ||||||
| A.1 | No | No | No | No | No | OR |
| A.2 | No | No | No | No | No | OR o PS |
| A.3 | No | No | No | No | Si | OR o PS |
| A.4 | No | No | No | No | Si | OR o PS |
| Tipo B | ||||||
| B.1 | Si | No | No | No | No | OR o PS |
| B.2 | Si | No | No | No | Si | OR o PS |
| B.3 | Si | Si | No | No | Si | PS o OS |
| Tipo C | ||||||
| C.1 | Si/no | No | Si | No | – | OR o PS |
| C.2 | Si | Si | Si | No | – | CAD |
| C.3 | Si | No | Si | Si | – | CAE |
| C.4 | Si | Si | Si | Si | – | CAED |
Leyenda: OR: ortesis. PS: estabilización percutánea. OS: estabilización abierta. CAD: cirugía abierta con desbridamiento y estabilización. CAE: cirugía abierta con desbridamiento y descompresión. CAED: cirugía abierta con desbridamiento, descompresión y estabilización.
Pronóstico y evolución
A pesar de los avances en el diagnóstico y tratamiento, la espondilodiscitis continúa siendo una enfermedad grave que conlleva riesgos significativos.
Mortalidad
La mortalidad global de la espondilodiscitis se sitúa entre el 2% y el 11%, aunque presenta variaciones importantes según el origen de la infección:
- Espondilodiscitis espontánea (hematógena): mortalidad del 12,5%. Estos casos afectan a pacientes más delicados, de edad avanzada, con múltiples comorbilidades y estados de inmunodepresión.
- Espondilodiscitis yatrogénica (postquirúrgica): mortalidad inferior al 2%. Aunque la mortalidad es menor, cualquier cifra de mortalidad por encima del 1-2% se considera elevada en neurocirugía moderna.
Recurrencia
Un aspecto crítico en el seguimiento de estos pacientes es el riesgo de recurrencia, que se sitúa por encima del 20%. Esta elevada tasa de reaparición de la infección obliga a mantener un seguimiento estricto durante los 6 meses posteriores a la finalización del tratamiento, con controles analíticos y de imagen periódicos.
Secuelas neurológicas
Las complicaciones neurológicas constituyen una preocupación importante en el manejo de la espondilodiscitis:
- Déficits neurológicos inmediatos: aproximadamente el 25% de los pacientes presentan algún grado de afectación neurológica durante la evolución de la enfermedad.
- Déficits neurológicos permanentes: afortunadamente, los déficits que persisten tras el tratamiento adecuado se sitúan por debajo del 10% de los casos.
Estas cifras subrayan la importancia del diagnóstico precoz y del tratamiento oportuno para minimizar el riesgo de secuelas permanentes.
Tasa de curación
El mensaje fundamental es positivo: con un abordaje multidisciplinario adecuado, que incluya neurocirujanos, médicos internistas, especialistas en enfermedades infecciosas, radiólogos y rehabilitadores, la curación y erradicación completa de la infección se consigue en más del 90% de los casos.
Este excelente resultado se alcanza cuando se cumplen las siguientes condiciones:
- Diagnóstico precoz mediante resonancia magnética.
- Identificación del germen causante.
- Tratamiento antibiótico dirigido y de duración adecuada.
- Cirugía cuando está indicada, con técnicas de abordaje directo al foco.
- Seguimiento estricto con controles analíticos y de imagen.
- Colaboración estrecha entre los diferentes especialistas implicados.
Conclusiones
La espondilodiscitis es una infección de la columna vertebral que, aunque no es frecuente, presenta una complejidad considerable en su diagnóstico y tratamiento. Los pacientes de edad avanzada, con enfermedades previas o estados de inmunodeficiencia constituyen la población de mayor riesgo.
El diagnóstico se establece mediante la combinación de la sospecha clínica, los marcadores inflamatorios (especialmente la PCR) y la resonancia magnética, que presenta la mayor sensibilidad y especificidad. La identificación del germen mediante hemocultivos o biopsia permite dirigir el tratamiento antibiótico de forma precisa.
El tratamiento requiere un enfoque multidisciplinario que combine reposo funcional, antibioticoterapia prolongada y cirugía cuando esté indicada. Los procedimientos quirúrgicos deben ser suficientemente agresivos, abordando directamente el foco infeccioso y proporcionando estabilización adecuada.
Aunque la mortalidad puede alcanzar el 10% en infecciones espontáneas y existe un riesgo de recurrencia superior al 20%, con un tratamiento apropiado se logra la curación en más del 90% de los casos. El seguimiento estricto resulta fundamental para detectar precozmente cualquier signo de recidiva.
La colaboración entre neurocirujanos, médicos internistas, infectólogos y otros especialistas resulta esencial para optimizar los resultados y minimizar las secuelas neurológicas, que pueden afectar permanentemente a menos del 10% de los pacientes cuando se aplica un tratamiento adecuado y oportuno.



