CONCEPTO
Son un defecto anatómico evidente desde el nacimiento, causado por un insulto al embrión durante el embarazo.
ETIOLOGÍA
Las causas son muy variadas, pudiendo ser clasificadas en:
a.- Hereditarias
b.- Ambientales:
- factores biológicos generales: edad de los padres, incompatibilidad sanguínea…
- deficiencias nutricionales
- infecciones maternas. rubeola, toxoplasmosis
- acciones hormonales: andrógenos,..
- efectos físicos: Rx
- efectos químicos: drogas, fármacos…
INCIDENCIA
El riesgo de malformaciones congénitas es, en general, de aproximadamente un 2% de los nacimientos, mientras que el porcentaje de malformaciones del sistema nervioso central (SNC) es del 2,66 por mil. Es difícil conocer la existencia de malformaciones en abortos espontáneos y su porcentaje puede ser superior al 30 %.
PATOGENIA
Si dividimos el desarrollo embrionario en tres períodos, muy esquemáticamente, las causas incidirían en las siguientes etapas de formación del SNC:
– 1er trimestre: se dificulta la formación del tubo neural
– 2º trimestre: alteraciones en la proliferación y migración neuronal.
– 3er trimestre: alteración en la organización neuronal y en el proceso de mielinización.
A medida que la noxa actúa más precozmente, la malformación va a ser más grave e incompatible con la vida
CLASIFICACION
Las alteraciones congénitas se pueden presentar a nivel de piel, cráneo o en el propio encéfalo. Las más importantes, desde el punto de vista neuroquirúrgico (por su posibilidad de reparación mediante una intervención quirúrgica), pertenecen al grupo de alteraciones en el cierre y constitución del tubo neural y las capas que lo envuelve y protegen:
PIEL
- Sinus Dérmico Craneal
- Malformaciones Vasculares:
- Aneurisma cirsoideo
- Sinus pericranii
CRANEO
- Craneoestenosis
- Anomalías craneofaciales
- Defectos óseos craneales
CEREBRO
- Disrafias
- Encefalocele
- Hidrocefalias
- Hidrocefalia Congénita
- Estenosis del Acueducto de Sylvio
- Síndrome de Dandy-Walker
- Hidrocefalia Congénita
- Quistes Congénitos
- Facomatosis
A.- ALTERACIONES EN LA FORMACION DEL TUBO NEURAL
SINUS DERMICO CRANEAL.-
Defecto de las cubiertas por anomalía en su inducción dorsal durante la 3ª-4ª semana del desarrollo embrionario, consistente en que en algún punto no se despega por completo el tubo neural del ectodermo y queda una invaginación cutánea que forma un tracto mas o menos permeable, revestido por epitelio escamoso estratificado, que conecta epidermis con tejido nervioso.
Se localiza en línea media o en su proximidad y pueden aparecer desde nasion hasta el coxis, aunque la localización más frecuente es a nivel de los neuroporos anterior y posterior: región occipital y región lumbosacra.
A nivel craneal, el más frecuente es el sinus dérmico occipital. Puede ser de tamaño muy variable: pequeño y terminar en el tejido subcutáneo, o grandes y llegar el trayecto hasta el IV ventrículo. Pueden presentar además quistes o tumores de inclusión, dermoides o epidermoides (Fig. 1- Esquema).

CLINICA.- Se observan alteraciones en la piel, como pequeñas depresiones, acompañadas de pelos, manchas color rojo vinoso… Permanecen asintomáticos hasta que se infectan y producen meningitis por staphilococus aureus y abcesos de repetición. Rara vez pueden llegar a producir cuadros de meningitis aséptica o química por rotura del quiste epidermoide en espacio subaracnoideo. Si los tumores de inclusión alcanzan gran tamaño, pueden dar clínica por efecto de masa y comportarse como proceso expansivo.
DIAGNOSTICO.- Hay que sospecharlo y explorar al niño en la región occipital, sobre todo si es un niño con un cuadro de meningitis de causa desconocida.
La TAC y, sobre todo, la RM completan el proceso diagnóstico. Visualizan el tumor de inclusión y, más difícilmente el tracto.
TRATAMIENTO.- Extirpación completa del tracto y tumor de inclusión.
ANEURISMA CIRSOIDEO.-
Es en realidad una malformación arteriovenosa cutánea, que se visualiza a través de la piel.
CLINICA.- El paciente, aparte de la molestia estética de piel enrojecida con huellas vasculares sinusoidales, refiere sensación de ruido o de latido.
DIAGNOSTICO.- Se hace fácilmente por inspección. La angiografía completa el estudio (Figs 2).
TRATAMIENTO.- En general, se ha de combinar el esfuerzo del neurorradiólogo intervencionista, para la embolización y reducción del tamaño de la malformación, con la extirpación quirúrgica posterior.

SINUS PERICRANII.-
Es una conexión de un seno venoso intracraneal (por lo general del seno longitudinal superior) con una bolsa venosa en cuero cabelludo, por encima del hueso (Fig. 3).

CLINICA.- Da la cara como una tumoración blanda, no dolorosa, que aumenta en posturas en que se incrementa la presión venosa intracraneal (maniobras de valsalva, acostarse y, sobre todo, bajar la cabeza).
DIAGNOSTICO.- La angiografía puede ser negativa. Por lo que hay que sospecharlo e inyectar el contraste tras puncionar esta bolsa. Se ve cómo se rellena la bolsa y su drenaje al seno venoso intracraneal.
TRATAMIENTO.- Hay que realizar una craneotomía y abordar las conexiones intracraneales, para cerrar la comunicación entre seno y bolsa venosa subcutánea.
CRANEOESTENOSIS O CRANEOSINOSTOSIS.-
Consiste en el cierre prematuro de una o varias suturas craneales. Su incidencia es de 1/2000 niños, predominando en un 80 % en varones (Fig. 4).

El cierre normal de las suturas se produce, para la sutura metópica, antes del nacimiento; la fontanela posterior se cierra a los 3 meses y la anterior alrededor de los 18 meses. Todas las suturas comienzan a calcificarse a partir de los 8 años y después de los 12 años no se separan aunque exista un cuadro de hipertensión intracraneal.
ETIOLOGÍA
Las craneoestenosis pueden ser primarias, presentes antes del nacimiento; o secundarias, debido más frecuentemente a una falta de desarrollo cerebral (microcefalia), raquitismo o tras colocación de derivaciones de LCR en hidrocefalias.
PATOGENIA
Si el cierre precoz se produce solamente a nivel de una sola sutura, se va a producir una deformidad estética. Pero si ya son varias las suturas afectadas, se impide el aumento progresivo del cerebro, generando al principio un cuadro de hipertensión intracraneal para, posteriormente, dificultar el desarrollo cerebral normal, con el consiguiente déficit intelectual o incluso oligofrenia.
CLASIFICACION
De acuerdo con las suturas que sufren el cierre precoz, se clasifican las craneoestenosis de acuerdo a la deformidad craneal que producen
– Trigonocefalia: La produce el cierre de la sutura metópica. Suponen el 5-16 % de todas las craneoestenosis. Los niños tienen la frente estrecha y afilada. El nombre lo toman del aspecto de proa de un barco (Fig. 5).

– Escafocefalia: Es el cierre de la sutura sagital. Es la deformidad más frecuente (50%). El cráneo adopta la forma de la quilla de un barco (de ahí su nombre), con un aumento del diámetro fronto-occipital (también se denomina dolicocefalia) y una disminución del diámetro biparietal (Fig.6)

– Braquicefalia, acrocefalia: Se debe al cierre de la sutura coronal y su frecuencia de presentación es del 7-15 %. Es lo contrario a la anterior, con disminución del diámetro fronto- occipital y aumento del bifrontal. La cabeza puede adoptar forma de torre al crecer el cráneo hacia arriba (turricefalia) (Fig.7).

– Oxicefalia: cierre de varias suturas, coronal y sagital, es un cráneo picudo. Presenta problemas graves de desarrollo cerebral, si no es reparado de forma rápida.
– Plagiocefalia: Es un craneo asimétrico por cierre de un lado de la sutura coronal y la sutura escamosa temporal adyacente. Su frecuencia es del 8-18%. El aspecto de la cabeza es de estar como aplastada en una de las regiones fronto-temporales. (Fig. 8).

Hay otras alteraciones más graves, en las que se asocian el cierre de múltiples suturas con anomalías craneofaciales. Entre éstas destaca la disostosis craneofacial o enfermedad de Crouzon y el Síndrome de Apert o acrocefalosindactilia (Fig. 9).

DIAGNOSTICO.- Se realiza tras la inspección del recién nacido. La palpación de la sutura permite apreciar un relieve óseo, duro, lineal a todo o largo de la sutura cerrada. Las Rx de cráneo y también la TAC 3-D permite tener un diagnóstico de certeza.
Ya cada vez es más raro que diagnostiquemos una craneoestenosis en edades tardías. En estos casos podemos ver incluso huella digitiformes en las Rx de cráneo, señal de haber existido una hipertensión intracraneal (HIC) (Fig.10). Cuando el niño es mayor de 4-6 años, el problema se plantea sobre si la apertura de las suturas va a ser útil, en cuanto a permitirle un mejor desarrollo intelectual. En caso de duda, es muy útil monitorizar la presión intracraneal a lo largo de 24-48 horas. En caso de observar signos de HIC, se procedería a abrir las suturas, para dejar al cerebro crecer y evolucionar.

DIAGNOSTICO DIFERENCIAL.- Hay que hacer el diagnóstico diferencial con la microcefalia secundaria a un menor crecimiento del cerebro. En este caso las suturas están cerradas, pero no precisan su apertura. Suelen ser niños con mayor deterioro intelectual y no presentar asimetrías en la forma del cráneo, aparte de que la RM puede mostrar imágenes de encéfalos dismórficos.
TRATAMIENTO.- El tratamiento quirúrgico consiste en la apertura de las suturas utilizando diferentes métodos de interposición de materiales para evitar que se cierren de nuevo. A veces es necesario hacer craniectomias y remodelación de los fragmentos óseos, para obtener el efecto estético deseado. Si se sobreañaden anomalías faciales, se requiere combinar las técnicas neuroquirúrgicas con equipos de cirugía máxilo-facial.
El tratamiento quirúrgico se debe realizar preferiblemente antes de los seis primeros meses de vida, puesto que el volumen cerebral en estos meses se va a incrementar en un 80 %. Pero, excepto que el cierre de las suturas sea global, es aconsejable esperar al menos 1 mes de vida para permitirle al niño el suficiente nivel de desarrollo como para soportar una cirugía en la que ineludiblemente pierden sangre
ENCEFALOCELE:
Es un defecto en el cierre del neuroporo rostral, que se produce durante la cuarta semana de embarazo. El contenido cerebral hace protrusión y se hernia a través del defecto craneal. Su incidencia de 1/2000 nacimientos y pueden representar hasta un 10% de las malformaciones del Sistema Nervioso Central.
CLASIFICACION
De acuerdo con el contenido, los encefaloceles pueden ser:
1.- Meningocele: Sólo herniación de meninges, con contenido de LCR en la tumoración
2.- Encefalomeningocele: Se hernia tejido cerebral, aparte de meninges.
3.- Hidroencefalomeningocele: La malformación es más grave, con salida de una cantidad importante de tejido cerebral (que incluye ventrículo) y meninges. (Fig.11).

De acuerdo con la localización, los encefaloceles más frecuentes pueden ser:
A.- Occipital. – El niño recién nacido muestra una tumoración blanda a nivel occipital, con alteraciones cutáneas sobreañadidas. Se puede asociar con hidrocefalia.
B.- Frontobasales.- A nivel nasoetmoidal, esfenoidal…Su detección es mas tardía y suelen manifestarse como una tumoración en la raíz de la nariz o dentro de las fosas nasales.
DIAGNOSTICO.- Por la exploración clínica, Rx de cráneo para ver el defecto y, sobre todo, TAC o RNM para ver la localización, forma y contenido del tejido cerebral herniado.
TRATAMIENTO.- El tratamiento quirúrgico pretende reponer cada estructura en su compartimiento, si es posible. Es importante obtener siempre el cierre de la duramadre, aunque el defecto óseo puede esperar y ser reparado cuando el niño sea mas mayor.
En casos de meningoceles solamente, se puede conseguir un desarrollo intelectual normal hasta en un 80-90% de los casos. Si se trata de un encefalomeningocele, el pronóstico es más sombrío, disminuyendo este porcentaje a un 20-40 %.
B.- ALTERACIONES EN LA PROLIFERACION NEURONAL
MICROCEFALIAS Y MEGALENCEFALIA:
Son alteraciones que se producen hacia el 2º- 4º mes del desarrollo. En el primer caso hay una reducción en el número de neuronas y en el segundo un aumento. Se deben a factores familiares y prenatales.
La microcefalia, suele asociarse a irradiaciones o exposición a toxinas. La microcefalia vera consiste en un cerebro pequeño (microencefalia), con perímetro cefálico con un percentil menor del 10, tienen retraso intelectual y no suelen tener crisis epilépticas.
Por el contrario en la megalencefalia uno de los hemisferios cerebrales aumenta de forma anormal su tamaño y el niño presenta una epilepsia grave o catastrófica, que precisa tratamiento quirúrgico (hemisferectomía o hemisferotomía) para controlar las crisis y evitar un grave retraso psicomotor.
C.- ALTERACIONES EN LA MIGRACION:
Suceden entre las semanas 26 y 28 y consisten en el desarrollo anormal del patrón de circunvoluciones del manto cerebral. Prácticamente todas van a cursa con epilepsias graves fármaco-resistentes:
LISENCEFALIA: No se forman circunvoluciones cerebrales (agiria), siendo el córtex cerebral plano.
PAQUIGIRIA: Formación de circunvoluciones anormalmente gruesas, en las que hay un defecto de la configuración normal en seis capas.
ESQUIZOENCEFALIA: hay una hendidura anormal que une los ventrículos y la corteza, que puede ser uni o bilateral.
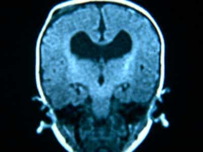
AGENESIA DEL CUERPO CALLOSO: los axones que deberían haber cruzado a través del cuerpo calloso se disponen formando haces longitudinales en la cara interna de los hemisferios cerebrales. El sistema ventricular esta dilatado y a veces hay quistes interhemisféricos. Puede asociarse con otras malformaciones.(Fig. 12)

HETEROTOPIAS CEREBRALES: Por migración neuronal deficiente y acumulación de neuronas aberrantes en cualquier punto entre el epéndimo ventricular y la corteza cerebral.
DISPLASIAS CORTICALES: Alteraciones más focales del proceso de migración neuronal. A diferencia de todas las anteriores, la epilepsia que producen puede tener mejor pronóstico, dado que la cirugía de localización y exéresis del foco displásico es posible hoy día y obtiene resultados cada vez más alentadores.


He leído y me he podido aclarar. Padezco la enfermedad, tengo 48 años y espero la cirugía. La enfermedad ha cambiado mi estilo de vida. Gracias
Me llamó Maria y a mis 60 años, me han dicho mediante una resonancia que tengo una malformacion congenita del la parte derecha del cerebro. La parte izquierda las terminaciones están sin formar.
También tengo otras malformaciones.
Apartir de los 55 años, no podía entender nada de lo que me pasaba. Actualmente llevo dos años esperando a que me vea un Neurólogo. Enviada mi petición a través del médico de Familia. Gracias
En lo personal a mi me sirvió mucho, me aclaró este tema.
Muchas Gracias.
porque aqui no mencionan la malformacion de chiari???? yo la padezco
muchas gracias