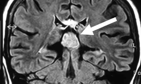
Tumor en la región pineal (pineocitoma)
Índice de contenidos Tumor en la región pineal Historia clínica: Tratamiento: Conclusión: Ver el video en el que se describe caso tumor en la región pineal (pineocitoma): Otros trabajos que pueden interesarle Tumor en la región pineal Historia clínica: Varón de 55 años sin antecedentes de interés. Presenta cuadro progresivo de cefalea que aumenta con … Sigue leyendo Tumor en la región pineal (pineocitoma)
Copia y pega esta URL en tu sitio WordPress para incrustarlo
Copia y pega este código en tu sitio para incrustarlo