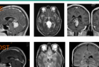
Índice de contenidos Glioma en región pineal Historia clínica: Glioma en región pineal Evolución: Conclusiones: Otros trabajos que pueden interesarle Glioma en región pineal Historia clínica: Glioma en región pineal Paciente mujer de 30 años que acude a urgencias por presentar cuadro de cefalea, vómitos y visión borrosa de dos semanas de evolución. No refiere … Sigue leyendo Glioma en región pineal
Copia y pega esta URL en tu sitio WordPress para incrustarlo
Copia y pega este código en tu sitio para incrustarlo